SIÊU ÂM TIM QUA THỰC QUẢN – CÁC KHÁI NIỆM VÀ MẶT CẮT CĂN BẢN
SIÊU ÂM TIM QUA THỰC QUẢN –
CÁC KHÁI NIỆM VÀ MẶT CẮT CĂN BẢN
1. Các danh pháp căn bản:
(Các danh pháp này người viết đều tự dịch, vì vậy xin độc giả chỉnh sửa giúp nếu
thấy không chính xác. Người viết xin cảm ơn.)
1.1 Định vị theo tư thế bệnh nhân:
Lấy tư thế nằm ngửa của bệnh nhân làm chuẩn:
- Phía trên (Superior): Về phía đầu bệnh nhân.
- Phía dưới (Inferior): Về phía chân bệnh nhân.
- Phía sau (Posterior): Về phía cột sống.
- Phía trước (Anterior): Về phía xương ức.
- Phía phải và trái: Về bên phải và bên trái của bệnh nhân.
1.2. Cách điều khiển đầu dò:
- Đưa đầu dò xa hơn về phía dạ dày: Tiến (Advance).
- Rút đầu dò về phía thực quản: Lùi (Withdraw).
- Xoay đầu dò theo chiều kim đồng hồ (về phía phải BN): Xoay về bên phải (Turn
to the right).
- Xoay đầu dò ngược chiều kim đồng hồ (về phía trái BN): Xoay về phía trái
(Turn to the left).
- Gập đầu dò về phía trước: Gập trước (Anteflexing).
- Gập đầu dò về phía sau: Gập sau (Retroflexing).
- Nghiêng đầu dò sang trái: Nghiêng trái (Flexing to the left).
- Nghiêng đầu dò sang phải: Nghiêng phải (Flexing to the right).
- Đối với mặt cắt đa diện (multiplane angle): Xoay từ 0 – 180 gọi là xoay tới
(Rotate forward) và xoay ngược lại gọi là xoay lui (Rotate back).
1.3. Danh pháp hình ảnh:
- Ở góc 0 của mặt cắt đa diện khi đầu dò nằm trong thực quản, mặt cắt sẽ nằm
gần vuông góc với cột sống (coronal), bên phải bệnh nhân là bên trái của màn
hình và ngược lại.
- Ở góc 90 của mặt cắt đa diện khi đầu dò nằm trong thực quản, mặt cắt sẽ nằm
song song với cột sống (sagittal), bên trái màn hình là phía dưới bệnh nhân
(inferior) và bên phải màn hình là phía trên bệnh nhân (superior).
2. Các mặt cắt cơ bản:
2.1. Định danh các mặt cắt:
Theo guidelines của hiệp hội siêu âm Mỹ (American Society of Echocardiography) về
siêu âm tim qua thực quản, có 20 mặt cắt cơ bản cần được thực hiện, các mặt cắt
được liệt kê trong bảng dưới đây, người viết xin phép để nguyên tiếng Anh để tiện
theo dõi, nhất là các từ viết tắt.
Người viết xin phép chỉ dịch các từ rõ ràng:
- Upper/ Mid esophageal (UE/ ME): Mặt cắt thực quản trên/ giữa.
- Transgastric (TG): Mặt cắt qua dạ dày.
- Long axis (LAX): Trục dọc.
- Short axis (SAX): Trục ngang.
- Four-chamber: Mặt cắt bốn buồng.
- Two-chamber: Mặt cắt hai buồng.
- RV inflow-outflow: Mặt cắt qua đường vào và đường ra thất phải.
- Bicaval: Mặt cắt qua TM chủ trên và TM chủ dưới.
2.2. 11 mặt cắt cơ bản:
Người viết sẽ trình bày 11 mặt cắt cơ bản đầu tiên theo tác giả J. Daniel
Muehlschlegel:
2.2.1. Mặt cắt 4 buồng giữa thực quản (Mid Esophageal 4 chamber view):
* Cách tìm:
- Tiến đầu dò vào đến đoạn giữa thực quản (khoảng 35 cm từ cung răng).
- Góc đa diện (Multiplane angle): 0 – 15.
- Do mỏm tim nằm thấp hơn đáy tim ở đa số BN => Gập sau đầu dò nhẹ để có thể
lấy được mỏm tim.
- Điều chỉnh depth để thấy rõ thất trái, thường khoảng 16 cm.
* Các cấu trúc khảo sát được: Nhĩ trái (LA), nhĩ phải (RA), vách liên nhĩ, van
2 lá (MV), van 3 lá (TV), thất trái (LV), thất phải (RV), vách liên thất.
* Khảo sát Doppler: Đánh giá dòng qua van 2 lá và 3 lá .
2.2.2. Mặt cắt 2 buồng giữa thực quản (Mid Esophageal 2 chamber
view):
* Cách tìm:
Từ mặt cắt 4 buồng giữa TQ, đưa thất trái vào giữa màn hình, xoay mặt cắt đa
diện tới góc 90 đến khi thất phải và nhĩ phải biến mất.
* Các cấu trúc khảo sát được: Nhĩ trái (LA), tiểu nhĩ trái (LAA), van 2 lá
(MV), thất trái (thành trước và dưới), xoang vành (CS), LCx.
2.2.3. Mặt cắt trục dọc
giữa TQ (Mid Esophageal Long Axis view):
* Cách tìm:
Từ mặt cắt 2 buồng giữa TQ, xoay mặt cắt đa diện tới góc 120 – 160 đến khi xuất
hiện đường ra thất trái, van động mạch chủ và động mạch chủ lên.
* Các cấu trúc khảo sát được: Nhĩ trái (LA), van 2 lá (MV), thất trái (thành
trước vách và dưới ngoài), vách liên thất, đường ra thất trái (LVOT), van động
mạch chủ (AV), động mạch chủ lên (Ao).
2.2.4. Mặt cắt trục ngang qua van động mạch chủ giữa TQ (Mid
Esophageal Aortic Valve short axis view):
* Cách tìm: Từ mặt cắt 4 buồng giữa TQ, rút lui đầu dò dần cho đến khi thấy van
động mạch chủ, xoay mặt cắt đa diện đến góc 30 – 45 đến khi thấy được cả 3 lá
van động mạch chủ.
* Các cấu trúc khảo sát được: Nhĩ trái (LA), nhĩ phải (RA), vách liên nhĩ, van
động mạch chủ với các lá van (AV), van 3 lá (TV), thất phải (RV), đường ra thất
phải (RVOT).
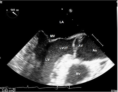
2.2.5. Mặt cắt trục dọc qua van động mạch chủ giữa TQ (Mid
Esophageal Aortic Valve long axis view):
* Cách tìm: Từ mặt cắt trục ngang qua van động mạch chủ giữa TQ, xoay mặt cắt
đa diện khoảng 120 -160 (90 từ mặt cắt trục ngang) đến khi xuất hiện đường ra
thất trái, van động mạch chủ và động mạch chủ lên.
* Các cấu trúc khảo sát được: Nhĩ trái (LA), van 2 lá (MV), thất trái (LV),
đường ra thất trái (LVOT), van động mạch chủ (AV), động mạch chủ lên (Ao), thất
phải (RV).
* Khảo sát Doppler: Dòng qua van động mạch chủ.
2.2.6. Mặt cắt đường vào – đường ra thất phải giữa TQ (Mid
Esophageal RV Inflow - Outflow view):
* Cách tìm: Từ mặt cắt 4 buồng giữa TQ, rút đầu dò đến khi van động mạch chủ
xuất hiện, xoay mặt cắt đa diện đến 60 – 80 đến khi nhĩ phải, van 3 lá, đường
ra thất phải và van động mạch phổi xuất hiện.
* Các cấu trúc khảo sát được: Nhĩ trái (LA), nhĩ phải (RV), van 3 lá (TV), van
động mạch chủ (AV), đường ra thất phải (RVOT), van động mạch phổi (PV).
* Khảo sát Doppler: Dòng qua van động mạch phổi.
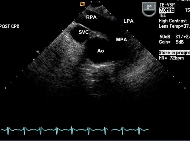
2.2.7. Mặt cắt trục ngang
qua động mạch chủ lên giữa TQ (Mid Esophageal Ascending Aorta short axis view):
* Cách tìm: Từ mặt cắt 4 buồng giữa TQ, rút lui đầu dò dần dần, đồng thời gập
trước (anteflexion) nhẹ đầu dò đến khi thấy được động mạch chủ ngực lên.
* Các cấu trúc khảo sát được: Động mạch chủ lên (Ao), tĩnh mạch chủ trên (SVC),
thân động mạch phổi (MPA), động mạch phổi trái và phải (LPA & RPA)
2.2.8. Mặt cắt qua 2 tĩnh mạch giữa TQ (Mid Esophageal Bicaval
view):
* Cách tìm: Bắt đầu từ mặt cắt 2 buồng giữa TQ, xoay đầu dò sang phải, xoay mặt
cắt đa diện đến góc 80 – 110 đến khi cả 2 tĩnh mạch xuất hiện.
* Cấu trúc khảo sát được: Nhĩ trái (LA), nhĩ phải (RA), vách liên nhĩ (IAS),
tĩnh mạch chủ trên (SVC), tĩnh mạch chủ dưới (IVC).
2.2.9. Mặt cắt trục ngang cơ nhú qua dạ dày (Transgastric mid – papillary short axis view):
* Cách tìm: Từ mặt cắt 4 buồng giữa TQ, tiến đầu dò vào dạ dày đồng thời gập
trước đầu dò nhẹ đến khi thấy 2 cơ nhú xuất hiện
* Cấu trúc khảo sát được: Thất phải (RV), thất trái (LV), vách liên thất, cơ
nhú trước ngoài (APM) và cơ nhú sau trong (PPM).
Đây là mặt cắt duy nhất cho thấy phân vùng tưới máu của cả 3 động mạch vành
(Người viết xin đề cập trong bài khác).
2.2.10. Mặt cắt trục dọc sâu qua dạ dày (Deep Transgastric long
axis view):
* Cách tìm: Từ mặt cắt trục ngang qua cơ nhú, tiến đầu dò xa hơn vào dạ dày,
gập trước đầu dò tối đa. Rút nhẹ đầu dò đến khi có hình ảnh phù hợp.
* Cấu trúc khảo sát được: Thất trái (LV), van 2 lá (MV), thất phải (RV), đường
ra thất trái (LVOT), van động mạch chủ (AV), động mạch chủ lên (Ao).
2.2.11. Mặt cắt trục ngang
qua động mạch chủ xuống (Descending Aorta short axis view):
*Cách tìm: Từ mặt cắt 4 buồng giữa thực quản, xoay đầu dò hết sang trái, góc đa
diện là 0.
* Cấu trúc khảo sát được: Động mạch chủ xuống (Ao), khoang màng phổi trái.
BS. VÕ TUẤN ANH
Tài liệu tham khảo:
1.ASE/SCA Guidelines for Performing a Comprehensive Intraoperative Multiplane
Transesophageal Echocardiography Examination: Recommendations of the American
Society of Echocardiography Council for Intraoperative Echocardiography and the
Society of Cardiovascular Anesthesiologists Task Force for Certification in
Perioperative Transesophageal Echocardiography
2.Society of Pediatric Anesthesia - TEE Workshop (April 2nd 2011) - J. Daniel
Muehlschlegel
















Comments
Post a Comment